Droopy Eyelids
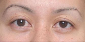
Upper eyelid ptosis is the abnormal heaviness of the upper eyelids. Some people call this a droopy or a lazy eyelid. You can be born with this condition or it can develop at any time in life. In some cases, upper eyelid ptosis may signal a medical illness and be the presenting symptom of certain rare systemic diseases. However, for most, ptosis develops gradually and almost imperceptibly. Then it happens. You notice it in a photo, or someone mentions it in passing that you look tired. Unfortunately, as a society, we associate individuals with heavy upper eyelids as sleepy, lazy, and shiftless. Managers think individuals with heavy upper eyelids are unmotivated. Women with heavy upper eyelids are said to have “bedroom” eyes. Ask yourself how seriously your colleagues will take you if you have bedroom eyes? The asymmetry between the two upper eyelids often calls attention to the issue. In addition, there is often a compensatory elevation of the eyebrow. When the upper eyelids are heavy on the eyes, the brain sends a signal to the muscle in the forehead to contract. This combination of the heavy upper eyelid and raised forehead is very common. The compensatory eyebrow elevation can also be asymmetric.
At some point, you decided that you have to do something about these eyelids. Please understand that Botox and eye fillers are not an option for addressing these heavy upper eyelids. Well-meaning doctors may offer these services as non-surgical treatments but they are unsatisfactory. The internet offers drops to lift the upper eyelid. Drops like Visine do contain medication that stimulates the superior tarsal muscle, also called the Müller’s muscle. The active ingredient in this product is called tetrahydrozoline hydrochloride. Don’t get too excited. The drop only lasts for about an hour and does not work for everyone. Using it more than twice a day will cause eye irritation. It is not a practical alternative to having ptosis surgery to fix a droopy eyelid.












